SD老龄大鼠

一、SD大鼠特性
SD大鼠封闭群(Outbred Rat)
SD大鼠来源:国家啮齿类实验动物种子中心。
SD大鼠级别:SPF级别。
SD为大鼠(rat;rattus norregicus)的一个品系,1925年,美国斯泼累格·多雷(Sprague Dawley)农场用Wistar大鼠培育而成。其毛色白化。广泛用于药理、毒理、药效及GLP实验。有以下几大特性:
1.毛色白化,生长发育周期长、产仔多
2.自发性肿瘤发生率较低
3.对性激素敏感性高
4.对疾病抵抗力较强,尤其对呼吸道疾病抵抗力低
老龄鼠SD大鼠老年鼠特性和用途:
产仔多、生殖力强。
SD大鼠生长发育快,抗病能力强。
SD大鼠自发肿瘤率低,对性激素感受性高。
SD大鼠常用作药理学、行为学、代谢病等方面的研究。
二、SD大鼠与人类年龄对比
成年SD大鼠多指已过性成熟阶段,SD大鼠性成熟时间约为:♂2月龄;♀2.5月龄,此时SD大鼠体重约为:♂360g ;♀250g。成年SD大鼠一般常用2月龄以上至12月龄者,体重为雄300-600g,雌 250-500g。
一般开放饲养条件下,SD大鼠寿命为2.5~3年,无菌大鼠寿命可达4年,以人60岁为老年年龄,SD大鼠进入老年的相应时间为1.7年,即20个月。现在实验中老年SD大鼠一般至少也要用1年以上的SD大鼠。总之,SD大鼠不但要注明动物月龄周龄等,还要注明体重范围。

实验小鼠的平均寿命约为24个月,实验大鼠的平均寿命约36个月,而全球人类的平均期望寿命约为80年。根据各生命阶段的大致持续时间,有研究人员将小鼠和大鼠与人类的年龄进行了匹配。
Rat's age in months Human's age in years |
6 months | 18 years |
12 months | 30 years |
18 months | 45 years |
24 months | 60 years |
30 months | 75 years |
36 months | 90 years |
42 months | 105 years |
45 months | 113 years |
48 months | 120 years |
| 小鼠 | 大鼠 |
线性缩放 (全生命周期) | 小鼠1日约相当于人类40日 人类1年约相当于小鼠9.2天 | 大鼠1日约相当于人类26.7日 人类1年约相当于大鼠13.7日 |
非线性 缩放 | 离乳阶段 | 小鼠1日约相当于人类6.4日 人类1年约相当于小鼠56.8日 | 大鼠1日约相当于人类8.6日 人类1年约相当于大鼠42.4日 |
“青春期”阶段 | 小鼠1日约相当于人类100日 人类1年约相当于小鼠3.6日 | 大鼠1日约相当于人类110.5日 人类1年约相当于大鼠3.3日 |
成年阶段 | 小鼠1日约相当于人类104.3日 人类1年约相当于小鼠3.5日 | 大鼠1日约相当于人类34.8日 人类1年约相当于大鼠10.5日 |
生殖衰退阶段 | 小鼠1日约相当于人类41.4日 人类1年约相当于小鼠8.8日 | 大鼠1日约相当于人类31日 人类1年约相当于大鼠11.8日 |
老年阶段 | 小鼠1日约相当于人类37.8日 人类1年约相当于小鼠9.7日 | 大鼠1日约相当于人类21.4日 人类1年约相当于大鼠17.1日 |
大鼠月龄 | 大鼠相对人类的年龄 |
1.5月龄(青春期) | 12.5岁(青春期) |
6月龄(成熟期) | 18岁(成熟期) |
12月龄 | 30岁 |
18月龄 | 45岁 |
24月龄 | 60岁 |
30月龄 | 75岁 |
36月龄 | 90岁 |
42月龄 | 15岁 |
45月龄 | 113岁 |
48月龄 | 120岁 |
大鼠和人类年龄的换算
三、SD大鼠年龄相关疾病
(一)神经系统退行性变化
在老龄大鼠中观察到的与年龄有关的异常包括脊髓局部区域的沃勒变性和周围神经(尤其是坐骨神经)的节段性脱髓鞘。沃勒变性在脊髓中的特征是存在包含嗜酸性物质(球状体)的扩大的轴突大脑和脊髓中可能有散在的神经元退化,并伴有星形胶质细胞增生。脂褐素可能存在于大脑和脊髓中的某些神经元中。
(二)神经根神经病
神经根神经病是脊髓和脊髓根部的退行性疾病,同时伴有腰部和后肢骨骼肌的萎缩。病变发生在脊髓和脊神经根(图2.53)。病变包括脱髓鞘、轴突鞘肿胀和轴突丢失。这些变化仅限于白质,并且在外侧和腹侧冠状窦和马尾端很严重。这种综合征在老龄实验大鼠和宠物大鼠中很常见,临床表现为后肢无力或轻瘫。
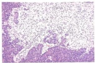
(三)肺泡组织细胞增生症
偶尔会在老龄实验大鼠的肺组织中观察到胸膜下肺泡腔内的巨噬细胞聚集。在肉眼检查时,通常可见暗的淡黄色病灶(图2.54)。当用甲醛水溶液 (福尔马林)固定肺时,这些病灶会变得更加突出在组织病理学方面,肺泡内的巨噬细胞具有丰富的泡沫样胞质。这种病变在多种动物中都很常见。

图2.53 发生神经根神经病的老龄大鼠的腰随。注意马尾神经束中的轴突鞘肿胀

图2.54 老龄大鼠的肺泡组织细胞增生症。
注意胸膜下区域凸起的淡黄色病灶,其对应的是肺泡腔内的巨哩细胞聚集
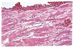
(四)心肌变性/纤维化

图2.55 老龄大鼠的心肌变性和间质纤维化
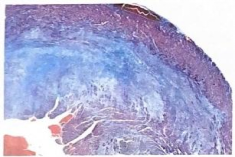
局部或弥散性心肌变性和纤维化通常见于常规和无特定病原体的大鼠,特别是1岁以上的大鼠。病变在雄性大鼠中更常见。在某些品系的大鼠中患病率可能超过80%。在剖检时,可能发现中度到明显的心室肥大,并且可能在心外膜上发现苍白的条纹。在显微镜检查时,尽管室间隔也可能受累。但心肌变性通常在左心室乳头肌中很明显。典型的变化是肌纤维萎缩、肌浆的空泡形成和破碎、交叉条纹减少、纤维化和单核细胞浸润(图2.55),偶尔会观察到反应性增大的细胞核。间质纤维化是该病的一个重要特征,在三色染色的组织切片中尤其明显(图2.56)。虽然这种情况在老龄大鼠中经常出现,但大鼠可能很少或不出现心功能不全的征象。

图2.56 发生明显心肌纤维化的老龄大鼠的左心室。
注意丰富的蓝染胶原蛋白(Masson 三色染色)
(五)心脏瓣膜血管扩张症
据报道,来自不同类型的商品化SD大鼠的房室瓣上单发性和多发性血管异常的发病率相对较高。病变血管内充满血液,内衬正常的内皮细胞,并且经常通过血管内通道相互连接。它们通常发生于靠近房室口的右房室瓣隔间瓣,也可发生于右房室瓣的其他瓣膜和左房室瓣。
(六)心内膜梭形细胞增生
在心内膜和心内膜下组织中出现类似于成纤维细胞的梭形细胞的增生(图2.57),已成为各种品系大鼠中频繁出现的问题。这些病变可能会扩张并侵入心肌。它们被定性为纤维增生,引起心内膜纤维瘤病、纤维弹性组织增生症、心内膜病和心内膜纤维增生等疾病。也有人认为这些变化是神经鞘瘤的前兆。

图2.57心室内膜梭形细胞增生(图片顶部)。
这种自发性病变可能出现在各种品系和种群的大鼠中
(七)结节性多动脉炎
多动脉炎常见于老龄大鼠,雄性的患病率更高。动脉病变常见于肠系膜、胰腺、肾、睾丸等大多数器官组织(肺除外)的中等大小动脉和胰十二指肠动脉。这种疾病常见于SD 大鼠、自发性高血压大鼠(SHR) 及患有晚期慢性肾病的大鼠。剖检时可见相关血管节段性扩张和管壁增厚,并明显地迂曲,特别是肠系膜血管(图2.58)。镜检可见血管内膜纤维素样变性和受累动脉中膜增厚,伴有正常结构不清。浸润的白细胞由单核细胞和少量中性粒细胞组成(图259)。病变血管的管腔大小和轮廓有明显的变化,偶尔会形成血栓并再通。

图2.58 患有多动脉炎的老龄大鼠的肠系膜和肠道。注意肠系膜动脉的结节性扩张和迂曲【来源:D.lmai,美国加利福尼亚大学(后文简称美国加州大学)。经D.lmai许可转载】

图2.59 大鼠肠系膜动脉的多动脉炎。内膜可见纤维素样变性,伴有中颜和外膜的炎症
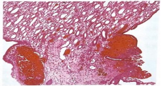
(八)老年性肝脏病变
大鼠的肝细胞中可出现多倍体细胞、巨核细胞、双核细胞,还可见核内胞质内陷和胞质内包涵体。这些表现与老龄小鼠相似,但不如其明显。虽然在幼龄大鼠中并不显著,但成倍增加的趋势在生命的较早阶段即可发生。大鼠多倍体的发生与品系有关。特别是在老龄大鼠中,还可发生自发性或药物诱导的局灶性的肝血窦扩张和肝紫癜。细胞质的变化表现为透明样区域或者嗜酸性或嗜碱性染色。 毒理病理学家对这些变化特别感兴趣。在老龄大鼠中经常观察到的显著病变是胆管增生。一开始,肝门静脉区胆管的数量增加;之后这些胆管逐渐扩张,内衬萎缩的上皮细胞,并被纤维结缔组织包围(图2.60)。在患有诸如严重慢性肾病等病症的老龄大鼠中可能发生髓外造血。

图2.60老龄大鼠的肝门静脉区有胆管增生和纤维化
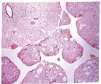
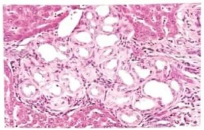
(九)胰岛肥大和纤维化
老龄大鼠会出现胰岛肥大,并进一步发展为严重的胰岛纤维化(图2.61)。已有关于老龄SD大鼠出现这些病变的报道,但这些病变也发生在其他品系大鼠中。

图2.61 老龄大鼠的胰岛纤维化
(十)慢性进行性胃病
这种疾病还有其他各种名称,包括“肾小球硬化症”“进行性肾小球肾病”和“老龄大鼠肾病”等。慢性进行性肾病(chronie pmogresive nephuopathy, CPN) 是本文术语。该病是老龄大鼠非常常见的生命限制性疾病。老龄大鼠CPN的患病率有所不同,但敏感品系可能超过75%。以下各种诱发因素在CPN的发展中发挥着重要作用。①年龄。12月龄以上的大鼠的病变通常广泛。②性别。 CPN在堆性中更常见、更严重。③品系。与其他品系大鼠相比,SD和 F344大鼠的发病率通常明显更高且病情更严重。④饮食。高蛋白饮食是一个重要的促发因素,但限制总食量而非蛋白质的摄入量对于减缓CPN的进展可能更为重要。⑤免疫因素。在病变的肾小球中已观察到IgM在毛细血管基底膜的沉积,这与非补体固定的免疫复合物一致,但CPN似乎不是免疫介导性疾病。⑥内分泌。催乳素水平被认为是一个促发因素。⑦微生物状态。无菌大鼠倾向于不发生CPN, 其寿命比携带微生物的大鼠长得多。
病理学
与 CPN 相关的临床症状包括蛋白尿、体重减轻,以及晚期病例中伴有肾功能不全的血浆肌酐水平升高。肾皮质通常有凹陷,有时变得形态不规则,在某些患病大鼠中呈不同程度的苍白和肿大。在切面上,皮质和髓质可能存在不规则的结构和线形条纹,并有不同程度的棕色色素沉着(图 2.62)。显微镜下的变化与慢性肾小球肾炎病变一 致。肾小球病变从基底膜的轻度增厚到肾小球簇的 明显增厚不等,伴有节段性硬化和与肾小囊的粘连 (图2.63)。蛋白管型通常存在于皮质与髓质内扩张的肾小管中(图2.64)。嗜酸性、 PAS阳性和铁离子阳性的重吸收液滴经常存在于受累肾单位的上皮细胞中(图2.65)。肾小管经常扩张,上皮细胞呈扁平排列,萎缩的肾小管内衬低分化、立方形、嗜碱性上皮细胞或硬化的细胞。肾小囊和近端肾小管基底膜可能存在不同程度的增厚和分裂,并有间质纤维化和单核细胞浸润。巨噬细胞和肌成纤维细积,这与非补体固定的免疫复合物一致,但CPN似乎不是免疫介导性疾病。⑥内分泌。催乳素水平被认为是一个促发因素。⑦微生物状态。无菌大鼠倾向于不发生CPN,其寿命比携带微生物的大鼠长得多。
(十一)肾钙质沉着症
有时研究人员在实验大鼠中会观察到肾矿化,这种情况也出现在饲喂普通食物的大鼠中。该疾病因多种饲喂不当,包括食物低镁含量、高钙含量,高磷浓度和钙磷比值低而发生。病变的特征是在皮质、髓质交界处的间质中有片状钙磷酸盐沉积,在同一区域的肾小管管腔内有钙盐聚集。晚期病例可 能有肾功能不全的表现,包括蛋白尿。
(十二)尿石症
实验大鼠的尿石症很少见,通常是偶发性的。 当发生膀胱结石(图2.66)时,大鼠可能伴发出血性膀胱炎、血尿和尿路梗阻。结石也可能位于其他部位(如肾盂、输尿管和尿道)。结石的组成可能 不同。分析表明,结石可能为磷酸铵镁、碳酸盐和 草酸盐的混合物,或者碳酸镁、碳酸钙、磷酸镁 磷酸钙的混合物。也有关于雄性大鼠中黏液性结石 的发病率高的错误报道,黏液性结石其实是通过排 泄进入尿道和膀胱的交配栓。

图2.66 大鼠膀胱中的多发性结石
(十三)肾积水
肾积水是剖检时的常见病变,可发生于各种大鼠中。在部分品系的大鼠中,该病有遗传倾向。例 如,在BN大鼠中,肾积水似乎是一种常染色体遗传的多基因病,具有不完全外显率。在Gunn 大鼠中,它主要作为显性遗传病,且在纯合状态下可能是致命的。研究人员对Sprague-Dawley杂合大鼠的肾积水的研究发现,该病呈高度遗传性,可能涉及多个基因。自发性肾积水常发生于右肾,并在雄性动物中多发。有人提出,雄性动物的自发性肾积水可能是由精索血管通过输尿管而导致机械阻塞,使得分泌物流出不畅,引起肾积水。但是切断右侧精 索血管的雄性Wistar克隆幼鼠的肾积水的发病率未降低。
剖检时,在动物体内可能发现不同程度的肾积水。严重时可发现肾脏是一个充满液体的包囊,囊中含有清澈的浆液。镜检可见肾盂明显扩张,肾髓质内容物消失,集合小管长度减小,无炎症反应需要进行鉴别诊断的疾病包括肾盂肾炎、多囊肾和肾乳头坏死。在大多数品系的大鼠中,单侧或双侧肾积水都可以发生,双侧肾积水可能引起动物死亡。肾积水可能会增加肾脏感染的机会。
(十四)肾乳头状增生

Lewis x Brown Norway杂交大鼠会发生间歇性由尿,其主要发生在雄性,雌性中也有发生。部分杂交大鼠发生单侧或双侧肾积水。病变局限于肾乳头可发生局灶性尿路上皮增生,以及间质出血、坏死 (图2.67)。在纯系大鼠中也会有上皮乳头状增生。
图2.67 有血尿病史的成年大鼠的肾乳头。可见增生性血管畸形伴有管壁破损和出血
(十五)退行性骨关节炎
关节软骨的侵蚀发生于老龄大鼠的胸骨和股骨处,伴有软骨基质退化、断裂和囊肿形成。
四、研究领域
1、药物学研究
大鼠的血压反应比家兔好,常用它来直接描记血压,进行降压药物的研究;也常用于研究、评价和确定上限给药量、药物排泄速率和蓄积倾向;慢性实验确定药物的吸收、分布、排泄、剂量反应和代谢以及服药后的临床和组织学检查。大鼠血压及血管阻力对药物反应敏感,常用来灌流大鼠肢体血管或离体心脏,进行心血管药理学研究及筛选有关新药。
2、 肿瘤研究
在肿瘤研究中常常使用大鼠,可使用生物、化学的方法诱发大鼠肿瘤,或人工移植肿瘤进行研究,或体外组织培养研究肿瘤的某些特性等等。
3、 营养、代谢方面的研究
大鼠是营养、代谢研究的重要材料。用于维生素、蛋白质、氨基酸、钙、 磷等代谢研究; 动脉粥样硬化、淀粉样变性、酒精中毒、 十二指肠溃疡、营养不良等方面的研究都可以使用大鼠。
4、神经、 内分泌研究
大鼠的神经系统与人类相似,广泛用于 高级神经活动的研究,如奖励和惩罚实验、迷宫实验、饮酒实验以及神经官能症、狂郁神经病、精神发育阻滞的研究。大鼠的垂体-肾上腺系统功能发达,常用作应激反应和肾上腺、垂体、 卵巢等的内分泌实验研究。
5、卫生学方面研究
大鼠还用于环境污染对人体健康造成危害的研究。如空气污染对人体的损害、 重金属污染对健康的损害等,职业病如尘肺、有害气体慢性中毒以及放射性照射等的研究都可以用大鼠作模型。
6、老年学及老年医学研究
近几年,常用老龄大鼠(日龄一年以上)探索延缓衰老的方法、 研究饮食方式和寿命的关系、研究老龄死亡的原因等。
7、计划生育研究
大鼠体型比小鼠大,适宜作 输卵管结扎、卵巢切除、生殖器官的损伤修复等实验,因此常用于计你划生育方面的研究。